流态冰处理对南美白对虾剥壳效率及品质的影响

顾赛麒1,张典钦1,金丽敏1,吴则洋1,戴王力1,2*,周绪霞1,3,4*

1(浙江工业大学 食品科学与工程学院,浙江 杭州,310014)2(浙江树人学院 生物与环境工程学院,浙江 杭州,310015)3(浙江省深蓝渔业资源高效开发利用重点实验室,浙江 杭州,310014)4(国家远洋水产品加工技术研发分中心(杭州),浙江 杭州,310014)

摘 要 该研究以南美白对虾为对象,评估不同盐度(3%、4%、5%)流态冰处理不同时间(0~240 min)对虾体脱壳效率及虾仁品质的影响,并初步解析其作用机制。结果表明,3%盐度处理虾体降温速率较慢,壳肉组织不能充分软化,导致壳肉分离不彻底,5%盐度处理渗透压较大,壳肉结合组织分离彻底,但会导致虾肉弹性降低,4%盐度流态冰处理90 min效果最佳,与对照组新鲜虾样相比,其剥壳时间减少33.50%,单位剥壳功降低59.43%,最大作用力降低94.37%,虾仁得率提升5.47%,脱壳效率提高83.17%。同时,该处理条件下虾仁水分、含盐量、持水性能、质构指标波动平缓,pH、总挥发性盐基氮、硫代巴比妥酸指标略有上升,巯基含量降幅受限。显微结构观察显示,流态冰处理促进肌纤维冷缩、增大壳肉间隙;SDS-PAGE分析证实连接蛋白降解,壳肉结合力显著减弱,从而提高脱壳效率。研究结果可为虾类产品高效预处理与品质控制提供理论依据与技术支撑。

关键词 南美白对虾;流态冰;剥壳效率;品质;壳肉分离

南美白对虾(Litopenaeus vannamei),又称白皮虾、白对虾,属于节肢动物门、甲壳纲、对虾科,是世界三大养殖虾之一。其富含蛋白质、人体必需氨基酸以及多种维生素和矿物质,具有较高的营养价值。随着我国养殖技术的不断进步,南美白对虾的养殖规模逐年扩大[1],虾仁加工产业也随之迅速发展。但虾仁加工中的关键环节——剥壳,仍主要依赖人工操作。新鲜虾仁的剥壳难度较大,人工剥壳易导致虾仁破损、残缺及虾尾断裂等问题,影响产品得率。因此,开发有效的预处理技术以促进剥壳成为当前研究的重点。

为了提高虾的剥壳效率和虾仁的完整性,研究者们探索了多种预处理方法,包括低温处理[2]、热处理[3]、酶[4-5]、超声波[6]等方法,促进虾壳与虾肉之间的连接松动,降低剥壳难度。然而,现有技术仍存在一些局限性,如超高压不仅容易引起虾体褐变[7],而且设备价格昂贵,难以实现大规模生产;酶法预处理虽然能有效松动壳肉连接,但同时也会对虾仁内部蛋白质产生分解作用,影响虾仁品质,导致虾仁品质下降,同时酶液的重复使用,会造成微生物污染风险[8]。因此,随着预处理技术不断提升,对预处理后虾仁品质的要求也逐步提高,如何在提高剥壳效率的同时保证虾仁品质,成为亟待解决的问题。

低温预处理因其成本低、操作简便而备受关注。然而,传统的冷冻-解冻方法容易导致虾仁汁液流失,且冷冻过程中形成的较大冰晶会破坏虾仁的内部结构,使其变得松散,影响口感。流态冰作为一种新型低温预处理技术,可以很好地解决上述问题,但盐水浓度过高时,会导致虾体快速冻结,导致虾肉膨胀造成壳肉分离难度增加,降低剥壳效率。此外,随着浸泡时间的增加,盐分会渗入虾体,影响产品质量。因此,优化流态冰的盐度和处理时间至关重要。

本文以南美白对虾为原料,采用不同盐度(3%、4%、5%,质量分数)的流态冰和不同处理时间(30、60、90、120、150、180、210、240 min)进行预处理,以剥壳时间、虾仁得率、单位剥壳功和最大作用力来评价剥壳效果,以含盐量、弹性、硬度、水分、pH、蒸煮损失、总巯基含量、总挥发性盐基氮(total volatile base nitrogen,TVB-N)、硫代巴比妥酸(thiobarbituric acid,TBA)来评价虾仁品质,从而确定最佳的流态冰预处理条件。此外,结合光学显微镜和扫描电子显微镜(scanning electron microscope,SEM)观察虾肉微观结构的变化,并通过SDS-PAGE分析蛋白质的变化,探讨流态冰的剥壳机理。本研究旨在确定最佳的流态冰预处理条件,为虾仁剥壳产业提供理论依据和技术支持。

1 材料与方法

1.1 材料与试剂

鲜活南美白对虾,每只质量(17.00±2.00) g,体长(12.00±2.00) cm,购自浙江省湖州市德清县李云水产交易市,20 min内送达实验室,运送全程充氧,鲜活抵达。NaCl、MgO、硼酸、盐酸、甲基红指示剂、溴甲酚绿指示剂、无水乙醇、三氯乙酸、乙二胺四乙酸二钠、硫代巴比妥酸、AgNO3、K2CrO4,以上试剂均为分析纯,国药集团化学试剂有限公司。总巯基试剂盒,上海碧云天生物技术有限公司;全蛋白提取试剂盒,北京索莱宝科技有限公司。

1.2 仪器与设备

RF-2.5T/SW型流态冰机,南通瑞友工贸有限公司;K9840凯氏定氮仪,威海开米泰克商贸有限公司;Color Quest XE色差仪,美国Hunter Lab公司;L93-4L针式温度计,杭州路格科技有限公司;plus C质构仪,英国SMS公司。

1.3 实验方法

1.3.1 流态冰的制备

制备质量分数3%、4%、5%的盐水,通入流态冰机器中,流速为150 m/s,流态冰中冰与水的质量比为70∶30,流态冰与虾质量比为50∶10,确保虾体完全被流态冰覆盖。

1.3.2 可剥性测定

在有氧条件下,活虾立即放入制备好的流态冰中间浸泡。处理的样品从0.5 h开始取样,以后每隔0.5 h取样测定指标。共测8次。取未处理虾作对照,试验重复3次。

1.3.2.1 剥壳时间的测定

参考汪兰等[9]的方法并稍作修改。建立一个剥壳小组,由10名经过训练的剥壳员组成剥壳小组,在不知道组别的情况下,每人手工剥10只虾,并记录剥壳所需时间,取平均值。每组重复3次。

1.3.2.2 虾仁得率测定

取10只虾,从虾背部第3节外壳依次往下,之后对前两节和头部进行剥壳,最后进行尾部和腹部剥壳,测定虾仁得率。用滤纸吸去虾表面水分,称量各试验组带壳虾和虾仁质量,计算如公式(1)所示:

虾仁得率

(1)

式中:m,带壳虾质量,g;m1,虾仁质量,g。

1.3.2.3 壳肉分离作功的测定

参考杨肖杰[10]的方法并稍作修改。取虾腹部前3节,剪除虾须,称质量。剥壳过程中将上面的针插入虾壳和虾肉之间,下面的针插入虾肉中。分析研究对象的剥壳过程,参数设置如下:拉力测试模式,测试速度2.5 mm/s,距离60 mm,触发力5.0 g。分析每个虾的剥壳单位功(mJ/g)和最大作用力(mJ)。

1.3.2.4 剥壳效率归一化

剥壳效率归一化按照公式(2)计算:

剥壳效率归一化

(2)

式中:W0,未处理组单位剥壳功,mJ/g;W1,当前处理组单位剥壳功,mJ/g;W2,最大处理组单位剥壳功,mJ/g。

1.3.3 虾仁品质测定

1.3.3.1 盐含量的测定

参考SC/T 3011—2001《水产品中盐分的测定》。

1.3.3.2 质构的测定

参考LIU等[11]的方法并稍作修改。对去壳南美白对虾第二腹节肌肉进行2 次压缩,采用质构仪的TPA模式分别测定其硬度、咀嚼性和弹性。测试条件为:平底形探头P/100、测前速率3.00 mm/s、测试速率1.00 mm/s、测后速率1.00 mm/s、压缩变形率40%、停留间隔时间5 s、负重探头5 g、环境温度18~20 ℃,每个样品测试5 次,取平均值。

1.3.3.3 水分含量及 pH 值的测定

参考GB 5009.237—2016《食品安全国家标准 食品pH值的测定》测定虾仁pH值,参考GB 5009.3—2016《食品安全国家标准 食品中水分的测定》测定虾仁水分含量。

1.3.3.4 持水力的测定

参考TIAN等[12]的方法并稍作修改。称取约5.0 g虾仁碎肉样品,用滤纸包裹并放入离心管中,记录下样品离心前的质量。样品于5 000 r/min离心10 min(4 ℃),离心结束后再次记录样品质量。持水力计算如公式(3)所示:

持水力

(3)

式中:m0,离心前样品质量,g;m2,离心后样品质量,g。

1.3.3.5 蒸煮损失的测定

参考LI等[13]的方法并稍作修改。将肉放入烹饪袋中,在80 ℃的水浴中浸泡,直到中心温度达到75 ℃,然后将样品冷却称质量。计算如公式(4)所示:

蒸煮损失

(4)

式中:mr,蒸煮前样品质量,g;mc,蒸煮后样品质量,g。

1.3.3.6 总巯基含量的测定

参考廖洪梅等[14]的方法并稍作修改。取1 g虾仁,加入10 mL蒸馏水,进行冰浴匀浆,然后8 000×g,4 ℃离心10 min,取上清液,置冰上待测。利用试剂盒测定。

1.3.3.7 TVB-N的测定

参考GB 5009.228—2016《食品安全国家标准 食品中挥发性盐基氮的测定》。

1.3.3.8 TBA的测定

参考GB 5009.181—2016《食品安全国家标准 食品中丙二醛的测定》。

1.3.4 光学显微镜

用摩尔浓度2.5%多聚甲醛固定48 h,垂直切片,苏木精-伊红染色,使用光学显微镜观察虾肉的微观结构。

1.3.5 SEM

参考ZHANG等[15]的方法并稍作修改,将样品垂直切片,用摩尔浓度2.5%戊二醛固定24 h,磷酸盐缓冲液洗涤4次,再用乙醇梯度脱水后,喷金,使用SEM观察虾壳与虾肉连接处的微观结构。

1.3.6 蛋白提取

1.3.6.1 肌原纤维蛋白提取

参考崔燕等[16]的方法并稍作修改。取2 g样品,加入0.05 mol/L NaCl-20 mmol/L Tris-马来酸(pH=7.0)溶液20 mL,均质30 s。将混合物在4 ℃下,以10 000 r/min离心10 min,静置30 min,弃去上清液,取沉淀。沉淀再加入20 mL冰冷的0.6 mol/L NaCl-20 mmol/L Tris-马来酸(pH=7.0)溶液,匀浆10 s,4 ℃静置1 h。4 ℃,10 000 r/min离心10 min。取上清液作为肌原纤维蛋白提取物,在540 nm处用双缩脲法测吸光度值,蛋白含量用双缩脲法测定,调节蛋白浓度为所需浓度后于-80 ℃下保存,备用。

1.3.6.2 全蛋白提取

使用全蛋白提取试剂盒进行测定,稍作修改。在每1 mL冷裂解液加入10 μL磷酸酶抑制剂,1 μL蛋白酶抑制剂和5 μL 100 mmol/L丝氨酸蛋白酶抑制剂,混匀。冰水保存待用。称取100 mg虾仁与虾壳直接的连接组织,剪成细小组织碎片。加入1 mL裂解液,冰浴研磨20次。将组织匀浆冰浴15 min,离心(12 000 r/min,4 ℃),取上清液为全蛋白提取物,蛋白定量(BCA法),调节蛋白浓度为所需浓度后于-80 ℃下保存,备用。

1.3.7 SDS-PAGE测定

参考熊治渝等[17]的方法并稍作修改,将蛋白浓度调至1 mg/mL,取5 μL样品和20 μL上样缓冲液,涡旋20 s,100 ℃煮3 min,上样量10 μL。进行电泳分离(电压:堆积胶80 V,分离胶120 V),用含体积分数40%甲醇和体积分数10%冰醋酸的水溶液固定10 min后,用蒸馏水洗涤5 min,在将其放于体积分数5%戊二醛水溶液7 min,再用蒸馏水洗涤3次,每次3 min。用AgNO3染液(20% AgNO3 200 μL;浓氨水200 μL;4% NaOH 1 mL;20%乙醇18.6 mL,现配现用)染色10 min,20%乙醇漂洗2次,每次3 min,再用显影剂(体积分数20% 乙醇20 ml,体积分数37% 甲醛20 μL,饱和柠檬酸5 μL)显色,直到蛋白质条带清晰,转入蒸馏水中,中止显色。

1.4 数据处理

实验数据以“平均值±标准偏差”表示,采用 SPSS 27.0 软件进行显著性和相关性分析,Origin 2024软件用于绘制图像。

2 结果与分析

2.1 流态冰处理对南美白对虾可剥性的影响

剥壳时间是衡量壳肉分离难度的直接指标。单位剥壳功(mJ/g)定义为将虾壳从虾体剥离所需总功与虾体质量的比值,该指标可定量表征南美白对虾剥壳过程的能量消耗。最大作用力(mJ)则指虾壳剥离过程中所需的最大作用力。如图1-a所示,在3种盐度(3%、4%、5%)流态冰处理下,南美白对虾的单位剥壳功随处理时间延长呈现先快速下降后趋于平缓的变化趋势。不同盐度处理组间差异显著(P<0.05),其中4%盐度流态冰在0~90 min处理时间内对单位剥壳功的影响显著(P<0.05),而90 min与120 min之间差异不显著(P>0.05)。这一结果与剥壳时间和最大作用力的变化趋势一致(图1-b、图1-c)。分析提高剥壳效率的原因可能有以下4点:1)流态冰造成虾肉迅速降温,使虾肉中的肌原纤维急速收缩,导致虾肉和虾壳产生间隙。2)水分进入虾壳与虾肉的间隙,低温使水分变成冰晶,冰晶形成导致壳肉间距增大,促进了壳肉分离,降低了剥壳难度。3)蛋白酶随着时间的增加逐渐酶解,虾壳与虾肉间的黏结蛋白变性,降低了黏结性,使虾体更易剥壳。这一发现与李彩璐等[18] 关于超高压剥壳预处理对小龙虾剥壳时间与壳肉黏结性影响的研究结果相吻合。4)低温可能增加几丁质的结晶度,因为低温下分子链的运动受到限制,分子排列更加有序,造成虾壳中的几丁质的硬度和刚性提升、韧性降低,这一变化会造成虾壳变硬,降低虾壳与虾肉的形状贴合,从而增加剥壳效率。

a-单位剥壳功;b-剥壳时间;c-最大作用力;d-虾仁得率

图1 不同浓度盐水流态冰处理时间对南美白对虾可剥性的影响
Fig.1 Effect of brine slurry ice concentration and treatment time on the shelling performance of whiteleg shrimp

注:不同字母表示差异显著(P<0.05)(下同)。

虾仁得率是影响生产经济效益的关键指标。如图1-d所示,不同盐度流态冰处理下,南美白对虾的虾仁得率随处理时间延长而缓慢上升。这一现象可归因于:1)流态冰处理减少了虾尾断裂,提高了得肉率;2)处理时间延长使虾肉的肌原纤维收缩,增加了虾肉空隙,流态冰冰中的水分进入这些空隙,导致虾肉含水量增加,增加了虾肉质量。

剥壳效率归一化处理是平衡剥壳效率和剥壳功大小的重要指标。如表1所示,对3%、4%、5%流态冰处理时间对南美白对虾剥壳效率进行归一化处理,选取剥壳效率>80%且时间最短的组别,分别为3%流态冰120 min、4%流态冰90 min、5%流态冰90 min,综合考虑剥壳时间、最大作用力、单位剥壳功、虾仁得率及时间空间成本,确定最佳工艺条件为4%流态冰处理90 min,同时与对照组新鲜虾样相比,该工艺条件下剥壳时间减少33.50%,单位剥壳功降低59.43%,最大作用力降低94.37%,虾仁得率提升5.47%,脱壳效率提高83.17%。

表1 不同浓度盐水流态冰处理时间对南美白对虾剥壳效率的归一化数值
Table 1 Normalized shelling efficiency values of whiteleg shrimp under different brine slurry ice concentrations and treatment times

时间/min盐度/%3450 00030 51.5761.8369.5260 70.9372.1976.4990 78.5583.1785.21120 85.2288.6789.00150 92.7493.0292.63180 95.5797.6196.50210 99.6397.9998.92240 100.00100.00100.00

2.2 流态冰处理对南美白对虾保水性的影响

水分、持水力、蒸煮损失和含盐量是评估流态冰处理后虾仁水分保留能力的关键指标,这些指标不仅直接影响虾仁的口感品质,还对虾仁的盐含量产生重要影响。如图2所示,在3种盐度条件下,南美白对虾的水分和蒸煮损失随流态冰处理时间的延长而增加,而持水力则呈现下降趋势。在3%盐度流态冰处理下,盐分渗透较缓,虾仁含盐量从初始0.09%升至240 min时的0.142%,同时可以维持较高水分含量和持水能力。在4%盐度流态冰处理90 min后,虾仁含盐量达到0.123%(即0.123 g/100 g),较新鲜虾仁的0.095 g/100 g有所增加。这种现象可归因于流态冰处理过程中,外部高盐度环境与虾仁内部形成浓度梯度,导致盐分向虾仁内部扩散,同时细胞内部水分外渗。90 min处理后,持水力和蒸煮损失分别为93.1%和9.40%。持水力的下降和蒸煮损失的增加可能与肌原纤维收缩变性有关,这种变化破坏了虾仁结构的完整性,同时蛋白酶的酶解作用减弱了水-蛋白质相互作用,导致水分的保留能力降低。此外,LYU等[19] 的研究表明,墨鱼在不同冷冻方式下的解冻损失随冷冻时间延长而增加,其中快速冷冻组的持水能力较高,这与本研究中高盐度组持水能力较强的结果相符。与4%盐度的流态冰相比,5%盐度处理后虾仁的水分、含盐量、持水力和蒸煮损失均表现较差的效果,主要源于过高的盐浓度导致盐分快速扩散,促使蛋白质变性和水-蛋白质结合能力减弱。

a-水分;b-含盐量;c-持水力;d-蒸煮损失

图2 不同浓度盐水流态冰处理时间对南美白对虾保水性的影响
Fig.2 Effect of brine slurry ice concentration and treatment time on the water-holding capacity of whiteleg shrimp

根据健康饮食指南,成年人每日鱼虾类建议摄入量为300~500 g,但每日食盐摄入量不应超过5 g,过量钠摄入可能导致血压升高,增加心血管疾病的发生和死亡风险。与新鲜虾样相比,采用最优工艺处理虾样其含盐量仅增加0.028 g/100 g(以每日摄入500 g虾计算,日均多摄入0.14 g食盐),水分含量增加3.98%,持水力降低1.1%,蒸煮损失增加0.38%,各项指标均变化幅度较小,虾仁品质较为稳定。

2.3 流态冰处理对南美白对虾质构的影响

质构特性是评价虾仁品质的关键指标,直接影响其口感。表2显示了3种盐度(3%、4%、5%)流态冰处理下南美白对虾的弹性、硬度、咀嚼性和内聚性随时间的变化规律。研究发现,弹性随处理时间延长呈缓慢下降趋势,且盐度越高,弹性下降速率越快。其中,3种盐度流态冰在0~150 min处理时间内对弹性的影响显著(P<0.05),而180 min和210 min处理组间差异不显著(P>0.05)。4%和5%盐度中内聚性表现出与弹性相似的变化趋势,即随处理时间延长随盐度增加而降低。这种现象首先可能是因为虾仁中的肌原纤维遇冷收缩,会从规则的丝状网络变成不规则且紧密的聚集状态,且温度越低,收缩越剧烈。其次可能与虾仁肌肉中内源水解酶有关,酶解降低了肌原纤维蛋白交联程度,随着处理时间的增加,交联程度的降低增加,导致虾仁弹性和咀嚼性均降低。

表2 不同浓度盐水流态冰处理时间对南美白对虾质构的影响
Table 2 Effects of brine slurry ice concentration and treatment time on texture of whiteleg shrimp

盐度/%处理时间/min弹性/mm硬度/N咀嚼性/mJ内聚性300.570±0.004a13.66±0.32cd273.30±8.55a0.53±0.02a300.550±0.004b15.48±0.46ab271.48±2.70a0.52±0.03a600.525±0.013c16.45±0.39a267.17±1.97ab0.51±0.06a900.506±0.003d14.48±0.17bc264.13±1.71bc0.50±0.07a1200.483±0.010e13.75±0.88cd259.20±3.03cd0.48±0.01a1500.463±0.006f13.01±0.40de253.82±1.47de0.47±0.06a1800.454±0.008g12.65±1.06def247.00±4.07f0.46±0.03a2100.445±0.005g12.04±0.57ef243.13±4.45fg0.45±0.04a2400.442±0.001g11.68±0.60f237.60±3.40g0.44±0.07a400.570±0.004a13.66±0.32cd273.30±8.55a0.53±0.02a300.542±0.002b15.83±0.42b270.31±8.33b0.51±0.02ab600.518±0.006c16.88±0.10a264.39±3.39bc0.47±0.03bc900.498±0.006d15.26±0.53b262.13±1.78bc0.46±0.02cd1200.476±0.012e14.12±0.36c257.98±6.09cd0.42±0.02de1500.458±0.006f13.86±0.41c251.91±2.10de0.41±0.01e1800.449±0.002fg13.27±0.93cd244.94±3.60ef0.40±0.03e2100.442±0.003gh12.90±0.50de242.00±5.50fg0.39±0.01e2400.438±0.006h12.36±0.24e235.07±3.52g0.38±0.05e500.570±0.004a13.66±0.32cd273.30±8.55a0.53±0.02a300.537±0.003b16.45±0.16b268.76±3.89ab0.50±0.01ab600.512±0.010c17.29±0.24a262.81±6.69bc0.46±0.03bc900.488±0.005d16.53±0.15ab259.11±3.24c0.43±0.06cd1200.466±0.008e14.58±1.08c254.89±3.11de0.40±0.01de1500.451±0.010f14.15±0.51cd249.96±7.08ef0.39±0.03de1800.442±0.008fg13.78±0.11d241.64±2.43fg0.38±0.02de2100.436±0.002fg13.52±0.28d239.63±2.44g0.37±0.04e2400.434±0.005g13.38±0.43d233.27±2.50g0.36±0.03e

注:不同字母表示组间差异显著(P<0.05)。

硬度随处理时间呈现先上升后下降的趋势。这种现象可能是由于流态冰处理初期,虾体死后进入僵直阶段,硬度不断升高,随着时间的延长,硬度不断下降。此外,水分含量对硬度也有显著影响,水分含量过高或过低均会降低硬度。3组均在60 min时水分含量达到最适水平,此时硬度最高;随着水分继续增加,硬度重新开始下降。这与吴盈茹等[20]关于盐浓度对即食中华管鞭虾仁冷藏期间肌肉品质变化的研究结果一致。咀嚼性作为弹性和硬度的综合指标,其变化趋势与弹性变化趋势一致:随处理时间延长而缓慢降低,且盐度越高,降低速率越快。这可能是由于低温处理使虾仁肌肉失去弹性,降低了其按压后的复原能力,同时硬度的先增后减进一步削弱了咀嚼性,导致咀嚼性较弹性和硬度出现更大幅度的下降。

当采用4%流态冰处理90 min作为最佳工艺条件时,与未处理组相比,南美白对虾的弹性、硬度、咀嚼性和内聚性的变化幅度均较小,表明该工艺条件能够有效维持南美白对虾的质构特性。

2.4 流态冰处理对南美白对虾品质的影响

虾仁的pH值和TVB-N含量是评价其新鲜度和蛋白质变性的重要指标。如图3-a所示,在3种盐度(3%、4%、5%)流态冰处理下,南美白对虾虾仁的pH值呈现先降后升的趋势。其中,3%盐度流态冰处理30 min时pH值达到最低值6.98,而4%和5%盐度处理60 min时分别达到最低值6.98和6.99。这种变化可能与虾体肌肉中降解酶作用导致的酸性物质积累有关。虾类水产品的食用临界pH值为7.8,而3%盐度流态冰处理240 min后,pH值最高仅为7.21。这种缓慢上升趋势可归因于外部微生物和内源酶作用导致的蛋白质分解,产生氨基酸、三甲胺等碱性含氮物质。pH值的变化可直接反映流态冰预处理对虾仁蛋白质状态和新鲜度的影响。根据GB 2733—2015《食品安全国家标准 鲜、冻动物性水产品》,TVB-N的限量为30 mg/100 g。图3-b显示,3种盐度流态冰处理下,TVB-N含量随处理时间和盐度增加而上升。未处理虾仁的TVB-N含量为7.25 mg/100 g,处理4 h后最高仅增加0.91 mg/100 g。这种现象可归因于蛋白酶和细菌作用导致的蛋白质分解,产生氨及低级胺类等碱性含氮物质。随着盐度增加,部分蛋白酶和细菌活性受到抑制,TVB-N含量上升速度减缓。研究结果表明,流态冰预处理能有效抑制pH值和TVB-N的快速上升,有利于虾仁保鲜。这一发现与周星辰[21]关于不同低温贮藏方式对新鲜牛肉TVB-N含量影响的研究结果一致。

a-pH;b-TVB-N;c-TBA;d-总巯基

图3 不同浓度盐水流态冰处理时间对南美白对虾品质的影响
Fig.3 Effects of brine slurry ice concentration and treatment time on quality attributes of whiteleg shrimp

TBA值是评估虾体脂肪氧化程度的重要参数,可反映脂肪二级氧化产物丙二醛的生成量。图3-c显示,3种盐度流态冰处理下,TBA含量随处理时间和盐度增加而缓慢上升。未处理虾仁的TBA含量为0.52 mg/kg,处理4 h后最高仅增加0.04 mg/kg。这种缓慢上升趋势可归因于低温对脂肪氧化酶和腐败菌活性的抑制作用。结果表明,流态冰处理下南美白对虾的TBA含量增加缓慢,对虾仁品质影响较小。

巯基作为蛋白质中最活跃的功能团,其与二硫化物之间的转化可反映蛋白质构象变化。如图3-d所示,3种盐度流态冰处理下,虾仁总巯基含量随处理时间和盐度增加而逐渐降低。不同处理时间(0~240 min)和盐度(3%、4%、5%)对总巯基含量的影响均显著(P<0.05)。未处理虾仁的巯基含量为2.61 μmol/g,处理4 h后最低仅减少0.11 μmol/g。这种变化可能与流态冰处理过程中冰晶形成导致的蛋白质结构破坏有关,暴露的巯基形成二硫键,诱导蛋白构象改变[22]

上述结果表明,流态冰预处理能够有效抑制虾仁pH值、TVB-N和TBA的快速上升,同时延缓总巯基含量的下降速率,从而显著提升虾仁的保鲜效果。此外,当流态冰盐度为4%、处理时间为90 min时,其各项指标与未处理组接近,表明在此条件下,南美白对虾的品质保持较好,具有较高的新鲜度。

2.5 虾壳与虾肉之间微观结构的变化

从图4可清晰观察到,CK组(对照组)虾仁的肌丝排列紧密,肌丝间隔较小,肌节结构完整,Z线和M线清晰可见。然而,随着流态冰处理时间的延长,虾仁组织结构逐渐变得松散,表现为肌节Z线和M线断裂、肌节缩短以及空隙明显增多。这一现象可能由以下两方面原因导致:1)肌原纤维的冷收缩效应:在流态冰处理过程中,虾仁肌原纤维遇冷收缩,从规则的丝状网络转变为不规则且紧密的聚集状态。随着处理时间的增加,肌纤维间隙进一步增大。2)内源水解酶的作用:虾仁肌肉中的内源水解酶活性可能导致肌原纤维蛋白交联程度降低。随着处理时间的延长,交联程度的下降加剧,从而使虾仁结构变得松散,间隙数量增加。上述微观结构的变化与流态冰处理对虾仁弹性、硬度和咀嚼性的影响相一致,进一步揭示了流态冰处理对虾仁质构特性的影响机制。

图4 4%盐度流态冰处理后南美白对虾结构显微结构变化
Fig.4 Microstructural alterations in the muscle structure of whiteleg shrimp after 4% brine slurry ice treatment

虾壳与虾肉连接横截面的微观结构如图5所示,通过SEM观察,可以清晰地看到虾壳的表皮、外表皮、内表皮、膜层以及虾肉的结构。新鲜组样品虾壳与虾肉连接最为紧密,几乎无明显间隙。不同低温预处理相同时间后,0 ℃普通冰处理90 min的组别显示出虾壳与虾肉之间的空隙较小,且仍保留部分连接;-3 ℃盐水冰处理组别的连接紧密程度次之;而流态冰处理90 min的组别,虾壳与虾肉之间的间隙最大。这一现象可能由以下原因导致:1)肌原纤维的冷收缩效应:流态冰处理后,虾体肌肉在低温下发生收缩,导致虾壳与虾肉之间的间隙增大。2)冰晶形成与膨胀:由于处理温度低于0 ℃,虾肉中的水分渗出并在虾壳与虾肉之间形成冰晶。水在凝结成冰时体积膨胀,进一步增大了虾壳与虾肉之间的空隙。黄晓亮[23]的研究表明,冷冻贮藏期间小龙虾肉肌肉组织的微观结构变化随着冷冻时间的增加,小龙虾肌肉组织间隙变大,是冰晶与蛋白质分解共同作用的结果,与本文研究结果相一致。3)虾壳中几丁质和蛋白质发生变化,几丁质是一种具有弹性的物质,MAHMOOD等[24]研究发现,增加几丁质的含量可以增加弹性体的结晶度。在流态冰处理后,虾壳中的几丁质会降低弹性,导致表皮变得松弛,虾壳结构松散,同时,虾壳中的蛋白质发生变性,降低了与虾肉的黏连程度,从而提高了剥壳效率。

图5 低温预处理后虾壳-虾肉连接的微观剥壳间隙显微结构变化
Fig.5 Microstructural changes in the shelling gap at the shell-meat junction of shrimp after low-temperature pretreatment

2.6 流态冰处理对南美白对虾蛋白组成的影响

如图6所示,与新鲜未处理组相比,随着处理时间的增加,肌原纤维蛋白总体呈现出先变弱再变深的过程,4%流态冰处30 min变弱可能是短期低温冰盐处理导致肌球蛋白重链分子间交联,形成更大的聚合复合物,这些分子质量过大,无法有效进入凝胶中进行迁移,导致条带减弱,30 min后逐渐变深可能是蛋白酶的酶解作用,导致肌球蛋白重链逐步降解。具体为肌球蛋白重链首先降解为副肌球蛋白,随后进一步降解为肌动蛋白,接着降解为原肌球蛋白,最终降解为肌球蛋白轻链。南美白对虾肌原纤维蛋白中分子质量为10~180 kDa的组分在流态冰处理过程中,低温导致虾肉肌纤维蛋白变性,破坏了蛋白质的结构。

图6 4%盐度流态冰处理不同时间南美白对虾肌原纤维蛋白SDS-PAGE图谱
Fig.6 SDS-PAGE profiles of myofibrillar proteins of whiteleg shrimp treated with 4% brine slurry ice at different times

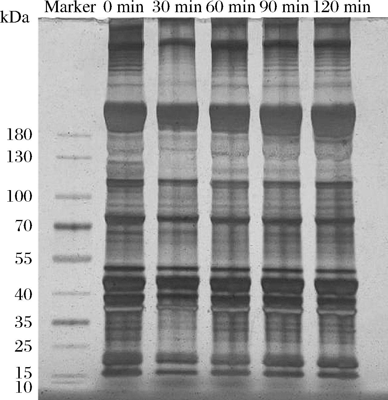
如图7所示,不同低温预处理对南美白对虾全蛋白组分产生了显著影响。研究表明,壳肉黏结蛋白的降解程度与剥壳效率呈正相关,即蛋白降解程度越高[18],剥壳时间越短,剥壳效率相应提升。4%流态冰处理90 min后,整体条带颜色减弱,表明蛋白质发生了降解。-3 ℃盐水冰和0 ℃普通冰处理90 min后,蛋白条带与新鲜组相似,表明这2种处理对蛋白质的降解作用较弱,与SEM结果相一致。桑燕菲[25]研究发现,小龙虾虾肉部分蛋白对冷敏感,冻藏后消失,与本文研究结果相一致。蛋白质结构被破坏后,会使二硫键交联增加和持水力下降,这与本文总巯基研究结果相互印证,同时黏结蛋白被蛋白酶分解,从而促使虾壳与虾肉的连接松动,增加了剥壳效率。

M:marker;A:CK组;B:-3 ℃流态冰90 min;C:-3 ℃盐水冰90 min;D:0 ℃普通冰90 min。

图7 低温预处理后南美白对虾全蛋白SDS-PAGE图谱
Fig.7 SDS-PAGE profiles of total proteins of whiteleg shrimp after low-temperature pretreatment

3 结论

本文研究了不同条件流态冰对南美白对虾预处理的影响。结果表明,提高流态冰盐度和处理时间可以增加剥壳效率,选取剥壳效率归一化>80%组,再综合考虑剥壳时间、最大作用力、单位剥壳功、虾仁得率及时间空间成本,取4%流态冰处理90 min为最佳工艺条件,实验结果表明在此工艺下,此时样品壳肉易分离,虾仁品质好,气味正常、含盐量较低。光学显微镜、SEM和SDS-PAGE的结果表明,促进虾壳与虾肉之间松动主要原因为:1)肌肉收缩,肌肉剧烈收缩会增加壳肉之间的距离,同时还会破坏部分连接蛋白,促进壳肉的松动;2)水分进入虾壳与虾肉的间隙,低温使水分变成冰晶,冰晶形成导致壳肉间距增大,促进了壳肉分离;3)蛋白酶随着时间的增加逐渐酶解虾壳与虾肉间的黏结蛋白变性,降低了黏结性,使虾体更易剥壳。本文为剥壳预处理提供了理论基础和技术支持,具有显著的经济效益和应用前景。

参考文献

[1] WEI Y H, YU K, CHEN Q, et al.Upgrading aquaculture technology contributes to the sustainable development of the white shrimp industry in South America[J].Scientific Fish Farming, 2024, (3):7-10.

[2] 刘金昉, 刘红英, 王慧青, 等.低温盐水预处理对南美白对虾剥壳的影响研究[J].核农学报, 2014, 28(2):252-258.
LIU J F, LIU H Y, WANG H Q, et al.Effect of low-temperature brine pretreatment on shelling of Penaeus vannamei[J].Acta Agriculturae Nucleatae Sinica, 2014, 28(2):252-258.

[3] 李高尚, 陈燕婷, 宣仕芬, 等.不同处理方式对虾蛄脱壳效率及肌肉品质的影响[J].核农学报, 2019, 33(8):1551-1558.
LI G S, CHEN Y T, XUAN S F, et al.Effect of different treatments on the shelling efficiency and muscle quality of Oratosquilla oratoria[J].Journal of Nuclear Agricultural Sciences, 2019, 33(8):1551-1558.

[4] DANG T T, GRINGER N, JESSEN F, et al.Enzyme-assisted peeling of cold water shrimps (Pandalus borealis)[J].Innovative Food Science &Emerging Technologies, 2018, 47:127-135.

[5] DANG T T, JESSEN F, MARTENS H J, et al.Proteomic and microscopic approaches in understanding mechanisms of shell-loosening of shrimp (Pandalus borealis) induced by high pressure and protease[J].Food Chemistry, 2019, 289:729-738.

[6] 张喜才, 张新林, 黄业传, 等.超声波和碱性蛋白酶处理对克氏原螯虾脱壳及虾仁品质的影响[J].食品研究与开发, 2024, 45(5):90-96.
ZHANG X C, ZHANG X L, HUANG Y C, et al.Effects of ultrasonic wave and alkaline protease treatment on shelling and quality of Procambarus clarkii[J].Food Research and Development, 2024, 45(5):90-96.

[7] 李秀霞, 盛云婷, 王桃桃, 等.超高压处理对南美白对虾多酚氧化酶活性和品质的影响[J].食品工业, 2019, 40(2):110-114.
LI X X, SHENG Y T, WANG T T, et al.Effect of ultrahigh pressure treatment on polyphenol oxidase activity and quality of Litopenaeus vannamei[J].The Food Industry, 2019, 40(2):110-114.

[8] DANG T T, GRINGER N, JESSEN F, et al.Facilitating shrimp (Pandalus borealis) peeling by power ultrasound and proteolytic enzyme[J].Innovative Food Science &Emerging Technologies, 2018, 47:525-534.

[9] 汪兰, 何建军, 贾喜午, 等.超高压处理对小龙虾脱壳及虾仁性质影响的研究[J].食品工业科技, 2016, 37(14):138-141;147.
WANG L, HE J J, JIA X W, et al.Effect of ultra- high pressure treatment on shucking and meat properties of red swamp crayfish[J].Science and Technology of Food Industry, 2016, 37(14):138-141;147.

[10] 杨肖杰.预处理剥壳对南美白虾品质的影响及剥壳机理探究[D].上海:上海海洋大学, 2021.
YANG X J.The effect of pretreatment-assisted peeling on the quality of shrimp (Litopenaeus vannamei) and the mechanism[D].Shanghai:Shanghai Ocean University, 2021.

[11] LIU S Y, CAI X Y, HUANG J Y, et al.Effects of environmental pH on protein properties and flavor factors of hairtail (Trichiurus haumela) in thermal processing[J].Food Chemistry, 2023, 413:135615.

[12] TIAN M M, ZHOU Y Y, SONG M D, et al.Effect of different frozen storage periods on water absorption characteristics of pre-cooked sea cucumber (Apostichopus japonicus)[J].Science and Technology of Food Industry, 2024:1-14.

[13] LI J Q, WANG Q T, LIANG R R, et al.Effects and mechanism of sub-freezing storage on water holding capacity and tenderness of beef[J].Meat Science, 2024, 215:109540.

[14] 廖洪梅, 王尚龙, 张宝雪, 等.抗冻蛋白对冷冻猪肉品质的影响[J].食品科学, 2025, 46(1):158-165.
LIAO H M, WANG S L, ZHANG B X, et al.Effects of antifreeze proteins on the quality of frozen pork[J].Food Science, 2025, 46(1):158-165.

[15] ZHANG T, WANG J, FENG J Q, et al.Ultrasonic pretreatment improves the gelation properties of low-salt Penaeus vannamei (Litopenaeus vannamei) surimi[J].Ultrasonics Sonochemistry, 2022, 86:106031.

[16] 崔燕, 宣晓婷, 林旭东, 等.超高压协同冷冻辅助脱壳对南美白对虾肌原纤维蛋白理化性质的影响[J].现代食品科技, 2019, 35(2):32-39.
CUI Y, XUAN X T, LIN X D, et al.Effect of high hydrostatic pressure combined with freezing treatment on shucking and physicochemical properties of myofibrillar protein of Penaeus vannamei[J].Modern Food Science and Technology, 2019, 35(2):32-39.

[17] 熊治渝, 孙兰静, 张倩倩, 等.虾肉蛋白在乳酸菌发酵过程中的降解及其体外抗氧化活性的动态变化[J].食品科学, 2024, 45(22):65-72.
XIONG Z Y, SUN L J, ZHANG Q Q, et al.Degradation of shrimp proteins during fermentation with lactic acid bacteria and dynamic changes in their in vitro antioxidant activity[J].Food Science, 2024, 45(22):65-72.

[18] 李彩璐, 沈建, 欧阳杰, 等.鲜活小龙虾超高压剥壳预处理工艺比较及其对虾仁品质的影响[J].渔业现代化, 2023, 50(3):104-112.
LI C L, SHEN J, OUYANG J, et al.Comparison of ultra- high pressure pretreatment techniques before shucking of fresh crayfish and its effect on the quality of meat[J].Fishery Modernization, 2023, 50(3):104-112.

[19] LYU Y, CHU Y M, ZHOU P C, et al.Effects of different freezing methods on water distribution, microstructure and protein properties of cuttlefish during the frozen storage[J].Applied Sciences, 2021, 11(15):6866.

[20] 吴盈茹, 廖月琴, 杜琪, 等.盐浓度对冷藏即食中华管鞭虾肌肉品质的影响[J].食品工业科技, 2023, 44(2):90-97.
WU Y R, LIAO Y Q, DU Q, et al.Effect of salt concentration on muscle quality of ready-to-eat shrimp(Solenocera crassicornis) during chilled storage[J].Science and Technology of Food Industry, 2023, 44(2):90-97.

[21] 周星辰.不同低温贮藏方式对生鲜肉品质与加工特性的影响研究[D].成都:成都大学, 2022.
ZHOU X C.Study on the effects of different low-temperature storage on the quality and processing characteristics of fresh meat[D].Chengdu:Chengdu University, 2022.

[22] 王芝妍, 杨文鸽, 周果, 等.超高压辅助中华管鞭虾脱壳及对其肌肉品质的影响[J].食品科学, 2017, 38(7):43-48.
WANG Z Y, YANG W G, ZHOU G, et al.Shelling of Solenocera melantho using ultra high pressure and its effect on the quality of muscle[J].Food Science, 2017, 38(7):43-48.

[23] 黄晓亮.不同养殖模式小龙虾品质及冷冻贮藏期间质量变化的研究[D].南昌:南昌大学, 2022.
HUANG X L.Study on the quality of crayfish in different culture patterns and the quality changes during frozen storage[D].Nanchang:Nanchang University, 2023.

[24] MAHMOOD K, ZIA K M, AFTAB W, et al.Synthesis and characterization of chitin/curcumin blended polyurethane elastomers[J].International Journal of Biological Macromolecules, 2018, 113:150-158.

[25] 桑燕菲.小龙虾冷冻贮藏期间虾肉品质变化及蛋白变性机理[D].合肥:合肥工业大学, 2022.
SANG Y F.Quality changes and protein denaturation mechanism of crayfish meat during frozen storage[D].Hefei:Hefei University of Technology, 2022.

Effect of slurry ice treatment on shelling efficiency and quality of whiteleg shrimp (Litopenaeus vannamei)

GU Saiqi1, ZHANG Dianqin1, JIN Limin1, WU Zeyang1, DAI Wangli1,2*, ZHOU Xuxia1,3,4*

1(College of Food Science and Engineering, Zhejiang University of Technology, Hangzhou 310014, China)2 (College of Biological and Environmental Engineering, Zhejiang Shuren University, Hangzhou 310015, China)3(Key Laboratory of Marine Fishery Resources Exploitment &Utilization of Zhejiang Province, Hangzhou 310014, China)4(National R&D Branch Center for Pelagic Aquatic Products Processing (Hangzhou), Hangzhou 310014, China)

ABSTRACT This study on whiteleg shrimp (Litopenaeus vannamei) evaluated the effects of slurry ice at different salinities (3%, 4%, 5%) and treatment durations (0-240 min) on shelling efficiency and shrimp meat quality attributes, and preliminarily elucidated the underlying mechanisms.At 3% salinity, the cooling rate was slower, and shell-muscle tissues did not sufficiently soften, leading to incomplete separation;at 5% salinity, the higher osmotic pressure facilitated thorough separation of shell-meat connective tissues but reduced meat elasticity.The optimal condition was 4% slurry ice for 90 min.Compared with fresh (untreated) controls, this condition reduced shelling time by 33.50%, decreased unit shelling work by 59.43%, lowered maximum detachment force by 94.37%, increased peeled yield by 5.47%, and improved overall shelling efficiency by 83.17%.Meanwhile, moisture content, salt content, water-holding capacity, and texture profile parameters remained relatively stable;pH, total volatile base nitrogen, thiobarbituric acid rose slightly, and the decline in sulfhydryl content was limited.Microstructural observations revealed cold-induced contraction of muscle fibers and enlarged shell-meat gaps.SDS-PAGE confirmed degradation of adhesion-related binding proteins, markedly weakening shell-meat adhesion and thereby enhancing shelling efficiency.These findings provide a theoretical basis and technical support for efficient preprocessing and quality control of shrimp products.

Key words Litopenaeus vannamei;slurry ice;shelling efficiency;quality;shell-meat separation

DOI:10.13995/j.cnki.11-1802/ts.044373

引用格式:顾赛麒,张典钦,金丽敏,等.流态冰处理对南美白对虾剥壳效率及品质的影响[J].食品与发酵工业,2026,52(3):309-318.GU Saiqi, ZHANG Dianqin, JIN Limin, et al.Effect of slurry ice treatment on shelling efficiency and quality of whiteleg shrimp (Litopenaeus vannamei)[J].Food and Fermentation Industries,2026,52(3):309-318.

第一作者:博士,副教授(周绪霞教授和戴王力讲师为共同通信作者,E-mail:xzhou@zjut.edu.cn;wanglidai94@163.com)

基金项目:国家重点研发课题项目(2023YFD2401505)

收稿日期:2025-09-01,改回日期:2025-09-28